quarta-feira, 18 de março de 2009

Patologia - Aula 5 Microscopia + Estudo de caso clínico

Lâmina 4 (Esteatose Hepática)




A esteatose se caracteriza pelos vacúolos grandes e arredondados no citoplasma dos hepatócitos, que deslocam o núcleo para a periferia. Os vacúolos têm limites muito nítidos porque a gordura neutra (triglicérides) não se mistura com o citoplasma aquoso.



Lâmina 57 (Lipidose)




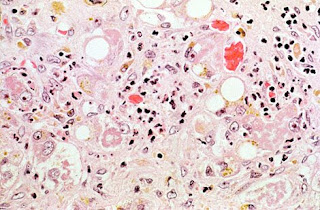
Lâmina 62 (Doença de Gaucher)



Imagem escaneada da lâmina de baço na doença de Gaucher. Notar a área proporcionalmente grande de polpa vermelha, que tem cor rósea.



POLPA VERMELHA: contém macrófagos de citoplasma róseo muito volumoso, que armazenam cerebrósides, um tipo de esfingolípide. A doença de Gaucher é uma esfingolipidose, condicionada por um gene autossômico recessivo. O tipo mais comum ocorre em adultos e leva a grande hepatoesplenomegalia, por acúmulo de esfingolípides em macrófagos por falta da enzima glicocerebrosidase. Por causa do acúmulo, os macrófagos ficam parecendo células epiteliais, e o volume da polpa vermelha fica muito maior que o normal, sobrepujando grandemente a polpa branca.

Lâmina 06 (Amiloidose hepática)

Lâmina 08 (Quelóide)




Vemos aqui um fragmento de pele exibindo intensa fibrose, a qual clinicamente é denominada de quelóide.

Lâmina 80 (Elastose Solar)





Aspectos microscópicos:
  • Epitélio estratificado pavimentoso queratinizado com atrofia;
  • Possui um discreto infiltrado crônico de células inflamatórias subjacente ao epitélio displásico;
  • Presença de alteração basofílica, acelular e amorfa (elastose solar) no tecido conjuntivo.

Evolução:

  • É resultado da exposição excessiva ou por longo período ao componente ultravioleta da radiação solar.




nterpretação clínica
  • Mulher de 65 anos, casada, mãe de 4 filhos, internada na enfermaria de clínica médica para investigação diagnóstica de dor abdominal difusa e descontrole de diabetes. Está em companhamento de diabetes mellitus, arritmia cardíaca e hipercolesterolemia, sob uso de amiodarona, sinvastatina, insulina e hipoglicemiante orais há 5 anos. Nega uso de outros medicamentos, bebidas alcoólicas e fumo.
  • Ao exame físico, altura de 156 cm e peso de 98 kg, pressão arterial de 135/85 e hemodinamicamente estável com pulmões limpos e abdome volumoso, circunferência abdominal de 110 cm. Varizes salientes em ambas as pernas. Refere que sempre foi obesa, assim como toda família materna.
  • Os estudo laboratoriais mostraram: AST, 99U/l; ALT, 72 U/l; gama-glutamiltransferase (gama GT), 345 U/l; amilasemia de 25 mg/dl. Teste sorológicos para hepatite, toxoplasmose e mononucleose normais.
  • Ecografia abdominal fígado aumento de tamanho e textura sugestiva de esteotose hepática.
  • Foi realizada biópsia hepática que mostrou esteatose, balonização dos hepatócitos, corpúsculos de Mallory, infiltrado celular de polimorfonucleares e necrose de hepatócitos.

Como explicar o quadro hepático?

O quadro histopatológico da esteatohepatite não alcoólica é semelhante da hepatite alcoólica, podendo ser encontrado os corpúsculo de Mallory*, até algum tempo considerado patognomônico da hepatite alcoólica , podendo evoluir para fibrose e eventualmente cirrose, porém sem a etiologia do consumo de bebidas alcoólicas.

O que tem observado é um forte associação desta alteração hepática com a obesidade, diabetes mellitus, hiperlipemia (hipercolesterolemia e hipertrigliceridemia), nutrição parenteral total, desnutrição grave, dietas ricas em proteínas para perda de peso e o uso de alguns medicamentos (ex.amiodarona). Em aproximadamente 40% dos pacientes com esteatohepatite não alcoólica nós não encontramos nenhuma das causas anteriores para explicar seu aparecimento.

Cincoenta por cento dos obesos têm estatose hepática diagnósticada através das biópsias, porém nem todos já tem o quadro de esteatohepatite. A patogênese da doença hepática ainda é obscura, embora alguns observações apontam para uma desordem subjacente de sensibilidade insulínica dos hepatócitos.

A apresentada no caso tem vários motivos para a esteatohepatite não alcoólica (obesidade, diabetes, hipercolesterolemia e amiodarona). O tratamento visa diminuir o peso e retirar os fatores de risco, trocando os medicamentos.

* Os corpúsculos de Mallory, ou corpúsculos hialinos alcoólicos são encontrados no interior dos hepatócitos sob forma de condensações grosseiras de material filamentar, eosinófilas, próximas ao núcleo da célula, que muitas vezes é circundada por leucócitos polimorfonucleares.


Patologia - Aula 5 (Acúmulos anormais intracelulares de lípides)


Esteatose



Fígado Normal



ESTEATOSE:
  • Sinonímia:

    • Metamorfose gordurosa, deposição ou transformação gordurosa, "degeneração e infiltração gordurosa", adipose degenerativa, lipofanerose e lipose celular.

  • Conceito:

    • Acúmulo anormal reversível de lípides no citoplasma de células parenquimatosas (principalmente de túbulos renais, hepatócitos, e fibras do miocárdio - células que normalmente metabolizam muita gordura) onde normalmente lípides não seriam evidenciados histologicamente, formando vacúolos (pequenos e múltiplos ou único e volumoso) em conseqüência de desequilíbrios na síntese, utilização ou mobilização.


      • Características macroscópicas:
a. As modificações no volume e coloração do órgão afetado dependerão da causa da esteatose e da quantidade de lípide acumulado.

b. Geralmente ocorre aumento de volume, alteração da consistência (órgão mais pastoso), aumento da friabilidade e amarelamento, além da presença de gorduras emulsionadas na faca ao corte.

c. No fígado: aumento de volume e peso (as vezes de 1,5 para 3 a 6 Kg, no ser humano) com bordas abauladas e consistência amolecida, coloração amarelada, superfície externa lisa e brilhante, e superfície de corte untuosa, sem marcação lobular.

d. No coração: afeta principalmente os músculos papilares, determinando o aparecimento de listas amareladas ("tipo coração tigrado") quando focal. Todo amarelado e flácido quando difusa.

e. Nos rins: aumento de volume, palidez e amarelamento.

  • Características microscópicas:

    a. Ocorre vacuolização citoplasmática que deve ser diferenciada da Degeneração hidrópica - vacuolar e da Infiltração glicogênica através de colorações especiais.

    b. Nos hepatócitos: Vacúolos pequenos e múltiplos (fase mais precoce) que podem se coalescer formando um único e volumoso, deslocando o núcleo para a periferia ("Célula em anel de sinete"), as vezes levando inclusive à ruptura celular formando os "Cistos gordurosos". Quando afetando a região periportal e justasinusoidal, não tem significado ou está associado à tóxicos; quando periacinar ("centrolobular") decorre geralmente de hipóxia e quando panlobular é causada principalmente pela diabete canina e acetonemia bovina.

    c. No epitélio dos túbulos renais (basalmente) e nas fibras do miocárdio (entre miofibrilas): geralmente pequenos e múltiplos.

    d. No processamento de rotina (e utilizando-se de HE), o álcool e o xilol dissolvem os lípides tornando o lipossomo um vacúolo vazio (espaço claro = imagem negativa do lípide).

    e. A esteatose é quase sempre precedida de Tumefação celular e as vezes ocorre simultaneamente com essa e com necrose.

  • Características ultraestruturais:

    "Lipossomos" = pequenos grânulos densos, as vezes em contato com o RE, que podem se coalescer formando "lipossomos gigantes".


Metabolismo normal da gordura no fígado


Os Ácidos Graxos chegam ao fígado via plasmática tendo como origem:

1. triglicérides dos depósitos de gordura
2. quilomícrons vindos do intestino

Mecanismos de degeneração gordurosa


Deficiência de proteínas pelo Retículo Endoplasmático Rugoso:
�� Deficiência de lipoproteínas

Deficiência de substância lipotróficas:
Metionina, Inositol, Colina, vit. B12 e Ácido Fólico

Por hipóxia e diminuição na produção de ATP
  • Etiopatogenia:


    a. Esteatose miocardíaca: Intoxicações, leucemias, anemia aplástica, difteria, etc...

    b. Esteatose renal: Hiperlipemias, intoxicações principalmente por tetracloreto de carbono (Cl4C) e plantas tóxicas.

    c. Esteatose Hepática [a mais estudada]:

    • Interferência com a dispersão micelar das gorduras intracitoplasmáticas: (discutível, JONES & HUNT, 1983).

    Por Deficiência de fosfolípides e/ou de proteínas: por destruição enzimática (ex: fosfolipase do Clostridium welchii) ou por intoxicação (CL4C).

    Por deficiência de aminoácidos lipotróficos (metionina, inositol, colina, propriotenina, vitamina B12 e ácido fólico): que determinarão diminuição da síntese de fosfolipídeos e aumento da esterificação de ácidos graxos em triglicérides.

    Por hipóxia, deficiência protéica na dieta, ou por excesso de colesterol e gorduras na dieta.

    • Aumento quantitativo da gordura intracelular sem aumento correspondente de fosfolípides e proteínas:

      Por aumento da síntese lipídica a partir de acetatos ou pela esterificação dos ácidos graxos em triglicérides por ação dos alfa glicerofosfatos.

      Por aumento do aporte de lípides nas dietas hiperlipemicas ou por mobilização excessiva de lípides do tecido adiposo ( corticoidoterapia. intoxicação alcóolica, inanição, dietas policarenciais ["Kwashiokor"] e doenças consumptivas (Tbc, Ca, etc...).

    • Na intoxicação pelo álcool ocorre uma exacerbação da esterificação da alfaglicerolfosfato em triglicerídeos.

    • Bloqueio na utilização de lípides:

      Por interferência na conversão de ácidos graxos em fosfolipídeos (na deficiência de aminoácidos lipotróficos e/ou síntese de proteína aceptora de lípides ["Apoproteína"] como conseqüência do desacoplamento ribossômico no RE [nas intoxicações por toxinas, Cl4C, P, Puromicina, Etionina, Tetraciclina, etc...)

      Por bloqueio na utilização e oxidação de lípides por interferência com co-fatores essenciais para a oxidação de ácidos graxos de cadeia longa [Carnitidina favorece a penetração de ácidos graxos nas mitocôndrias, onde ocorre a oxidação][Toxina diftérica e fitotoxinas].

      Por bloqueio na união lípide - apoproteína ou na secreção de lipoproteínas do hepatócito [ácido orótico].

    Fisiopatogenia

    Por diversos motivos ( ver tabela abaixo ) pode haver um acumulo excessivo de gordura. A principio, isso não acarretaria maiores problemas. Mas, por algum mecanismo ainda desconhecido, o organismo desencadeia uma inflamação contra os hepatócitos, que são gradualmente destruídos. Dependendo da intensidade desta destruição, isso pode superar a capacidade de regeneração e levar a perda de hepatócitos, que são substituídos por fibrose ( cicatriz ). Com a progressão da fibrose, e possível que se desenvolva cirrose franca com todas as suas complicações.

  • As síndromes gordurosas do fígado incluem, portanto, um amplo espectro de lesões, desde a simples esteatose, passando por esteatose + inflamação ( esteato-hepatite ), esteatose + inflamação + degeneração de hepatócitos, esteatose + inflamação + fibrose até a cirrose.



______________________________________________________________________
Aterosclerose

http://www.ccs.ufsc.br/~mimeurer/Aterosclerose_Odonto.pdf

b. Xantomatose:


Colesterol e ácidos graxos nos histiócitos formando nódulos ou placas no tecido subcutâneo e tendões.


terça-feira, 10 de março de 2009

segunda-feira, 9 de março de 2009

Imunologia - Adjuvantes

Os Adjuvantes
Em 1925, estudos pioneiros de Ramon demonstraram ser possível aumentar artificialmente os níveis de antitoxinas tetânicas produzidas por uma vacina, ao adicionar-se à fórmula substâncias como amido, lecitina ou saponinas. Estas substâncias, quando combinadas aos antígenos, apresentam a propriedade de induzir níveis mais altos de imunidade, recebem o nome de adjuvantes ou, em certos casos, imunoestimulantes.Os adjuvantes incrementam o afluxo de linfócitos e modulam a permanência de outras células inflamatórias no local de deposição do antígeno, potencializando a resposta imunológica do hospedeiro.

2.1. Adjuvantes AquososOs compostos a base de alumínio são os adjuvantes mais utilizados na indústria farmacêutica humana e veterinária.Fosfatos, hidróxidos e outros sais de alumínio, quando inoculados nos tecidos, apresentam citotoxicidade moderada aos macrófagos, liberam fatores que atraem eosinófilos e disparam reações em cascata do complemento. Estes e outros mecanismos causam irritação tecidual suficiente para desencadear a resposta imunológica esperada.A capacidade imunogênica de certas bactérias é particularmente potencializada após sua inativação e adsorção em hidróxido de alumínio (Al(OH)3).

2.2. Adjuvantes OleososHistoricamente, os adjuvantes emulsionados em óleo surgiram de extensas pesquisas no campo da tuberculose humana. Freund notou um expressivo aumento na produção de anticorpos ao incorporar o antígeno em parafina. Desenvolveu-se então o mais potente adjuvante conhecido até hoje, o Adjuvante Completo de Freund (FCA), composto de uma emulsão água em óleo adicionada de Mycobacterium spp). No entanto, o FCA foi somente utilizado em projetos experimentais devido aos seus efeitos colaterais: dor, febre e formação de abscessos.

Imunologia - Antígenos e Antigenicidade

Antígenos e Antigenicidade


Antígenos são estruturas que se ligam à moléculas imunológicamente ativas, os anticorpos.Imunógenos são antígenos com capacidade de provocarem uma reação imunológica específica contra eles, ou seja, levam à produção de anticorpos e também à produção de linfócitos T auxiliadores, citotóxicos e supressores. Todos estes agentes produzidos pelo estímulo do imunógeno possuem ação específica para ele.Os imunógenos devem possuir uma estrutura química capaz de induzir à reação do nosso sistema imune. esta estrutura inclui um certo tamanho da molécula (peso molecular), bem como complexidade química.

A bem da verdade o termo antígeno e imunógeno tem sido usado por vários autores como tendo o mesmo significado.Estruturas complexas, como um vírus, bactéria ou protozoário, possuem na sua composição vários determinantes antigênicos ou epitopos. Estes epitopos funcionam indivudualmente como antígenos/imunógenos individuais, ou seja, não existe resposta contra o vírus da rubéola e sim contra os antígenos do vírus da rubéola.Algumas estruturas antigenicas se ligam à anticorpos específicos, porém nào são capazes por sí só de provocar uma resposta, pois não possuem características químicas para tal. Sào antígenos, mas não imunógenos. Estas estruturas são os haptenos.Os haptenos só são capazes de induzir resposta específica quando se associam molecularmente à outras estruturas capazes de lhes conferir tamanho e/ou complexidade suficiente para tal. Estas estruturas são chamadas de carreadores.

Existem alguns fatores que influenciam a resposta de nosso S.I. ao estímulo imunogênico, a saber:

Grau de diferença: o quanto a estrutura é diferente de estruturas próprias de nosso organismo.

Distancia de relação filogenética: As células de camundongo são muito imunogênicas no homem.

Ascesso do epitopo do antígeno às celulas de reconhecimento: Quando o epitopo está na região
externa da estrutura, ela tende a ser mais imunogênica.

Via de entrada do antígeno: Subcutânea para antígenos solúveis.

Dose do antígeno: doses muito altas ou baixas podem retirar a imunogenicidade.

Frequência da administração do imunógeno: Administrações múltiplas aumentam a imunogenicidade.

Adjuvantes: Quando administrados junto com o imunógeno aumentam a resposta.

Aula em pdf:

http://users.med.up.pt/cc04-10/Imunologia/desgravadas/12_Antigenios.pdf

Revisão em Power point:

(Download)
http://www.mediafire.com/?8qjutxizwdn

Parasitologia - Esquistossomose

Esquistossomas

Fala-se em esquistossomose quando há infecção por qualquer uma das espécies de Schistosoma. Na maior parte dos indivíduos infectados não há doença clínica, ou esta assume aspecto incaracterístico ou frustro. Várias espécies são capazes de infectar o homem. As mais importantes são o S. mansoni, o S. haematobium, e o S. japonicum. Há outros, como o S. mekongi, S. intercalatum, de menor importância. Os esquistossomas mansoni e haematobium existem na África desde há muitos séculos. Ovos de esquistossoma foram encontrados nas múmias egípcias, atestando a antigüidade da parasitose. Acredita-se que os escravos negros, trazidos da África para o Brasil, a tenham trazido consigo. A favor desta hipótese está o fato de que as principais áreas endêmicas em nosso país correspondiam, no início do século XX, às regiões onde a mão de obra escrava tinha sido mais intensamente utilizada, a saber, Pernambuco e Bahia. Mais tarde, com as migrações internas, a parasitose disseminou-se em focos isolados, dispersos por todo o território nacional. Como o hospedeiro intermediário do S. haematobium é um caramujo do gênero Bulinus inexistente no Brasil, está espécie de esquistossoma não chegou a radicar-se entre nós. Já o S. mansoni encontrou aqui ambiente favorável, pela existência dos hospedeiros intermediários, que são os caramujos da família Planorbidae, gênero Biomphalaria. Pode-se dizer que, de dois males, ficamos com o menor, pois a esquistossomose hematóbia produz alterações patológicas mais graves do que a mansônica, uma vez que, em vez de acometer o intestino, agride, como veremos, a árvore urinária.
Os esquistossomas pertencem à classe Digenea. O filo Platyhelminthes divide-se em várias classes, entre as quais Cestodea, Digenea e Monogenea. As duas primeiras são as mais importantes para a medicina humana. A classe Digenea caracteriza-se pela alternância de gerações, isto é, apresentam uma geração (ou multiplicação) sexuada no hospedeiro definitivo e uma geração assexuada no (ou nos) hospedeiro(s) intermediário(s).
Os esquistossomas são bio-helmintos, cujos hospedeiros intermediários são caramujos de água doce. É essencial para que se complete o ciclo do parasita que as fezes dos hospedeiros definitivos, contendo os ovos do parasita, entrem em contacto com a água onde vivem os caramujos. O principal hospedeiro definitivo é o homem, embora tenha sido descrita a infecção natural do boi e de certos roedores ribeirinhos. Até pouco tempo atrás se acreditava que estes animais não pudessem sustentar sozinhos o ciclo do parasita, sem a existência de seres humanos infectados na mesma biocenose. Entretanto, estudos recentes, feitos na localidade de Sumidouro, Estado do Rio de Janeiro, mostraram que a prevalência de esquistossomose em roedores do gênero Nectomys é de 57%, mesmo em áreas onde a densidade populacional humana é pequena. Acredita-se, assim, que estes roedores sejam capazes de manter o ciclo da parasitose independentemente da participação do homem.
No Brasil, acumulam-se evidências da adaptação crescente do S. mansoni a um ciclo roedor-molusco-roedor. As taxas de parasitismo caem acentuadamente quando os animais são capturados a mais de 400 metros das residências humanas.

Caramujos

A maior parte dos caramujos comuns tem conchas que formam como que um cone, onde há um vértice e uma base. À medida que o animal cresce, a concha vai aumentando também de tamanho, acrescendo mais voltas em torno de si mesma, aumentando o cone em direção à sua base. No centro da base há normalmente um orifício, que corresponde ao espaço circundado pelas voltas da concha. À este orifício os malacologistas, que são os estudiosos dos moluscos, denominam "umbigo". Os caramujos da família Planorbidae, que existem em todo o território nacional, são de fácil identificação, pois, ao contrário de todos os outros, e tal como sugere o nome, as voltas ou órbitas sucessivas da sua concha estão contidas num mesmo plano. Assim o caramujo, ao crescer, não forma um cone, mas um disco, cujas duas faces tem a mesma aparência da base da concha dos caramujos comuns. O nome Biomphalaria, que quer dizer "dois umbigos", vem da existência destas duas bases, uma de cada lado do disco formado pela concha, cada uma com o seu "umbigo". São de cor escura, acastanhada ou negra. Vivem em água doce de pouca correnteza, córregos ou valetas de irrigação, preferindo nos rios maiores os remansos das margens. A presença de poluição orgânica moderada lhes é benéfica, pois aumenta a oferta de alimento. São muito resistentes às medidas de controle, entre elas o uso de moluscicidas. As tentativas de exterminá-los não têm geralmente sucesso. No Nordeste, nos locais onde os rios são temporários e desaparecem por ocasião das secas, são capazes de persistir longo tempo enterrados na lama, a muitos metros de profundidade, até o retorno das chuvas, quando voltam a infestar as águas. O mais importante transmissor é o Biomphalaria glabrata.
O ciclo da parasitose pode começar a ser descrito no momento em que os ovos do parasita são lançados no meio ambiente, com as fezes do hospedeiro definitivo. Os ovos contém uma forma larvária multicelular microscópica, cujo tegumento é recoberto de cílios que permitem rápido deslocamento no meio líquido. O aspecto desta forma parasitária, à microscopia de pequeno aumento, lembra, pela presença destes cílios, a face de um jovem cuja barba começa a crescer; seja por esse motivo, seja por tratar-se de uma forma jovem do parasita, ela foi denominada miracídio, que quer dizer rapazinho. Os movimentos do miracídio podem ser vistos dentro do ovo intacto. A eclosão do ovo é estimulada pela água e pela luz. A própria luz do microscópio pode desencadeá-la no material contido entre lâmina e lamínula. Uma vez na água, o miracídio nada em busca do caramujo, no qual penetra ativamente. No hepatopâncreas do caramujo o parasita assume uma forma denominada esporocisto primário, em que há intensa multiplicação. As formas resultantes desta multiplicação espalham-se pelo hepatopâncreas do animal, cada uma delas formando um esporocisto secundário. Estes últimos dão origem às milhares de cercárias, que são finalmente eliminadas na água pelo caramujo. As cercárias são formas parasitárias pluricelulares, microscópicas, com um corpo de aspecto ovóide e uma cauda bifurcada (furcocercárias). Têm o aspecto mesmo de um pequeno peixe. O movimento se faz, entretanto, em direção à cauda. A liberação das cercárias se dá nas horas ensolaradas do dia, momento em que é mais provável a presença do homem na água, seja em decorrência de folguedos (crianças), seja por necessidade de trabalho (lavadeiras, etc.). As cercárias penetram ativamente pela pele íntegra que esteja em contacto com a água.

Infecção por cercárias

A primeira manifestação clínica da esquistossomose pode ser o prurido desencadeado pela penetração das cercárias. A literatura americana descreve uma "swimmer’s itch", ou "coceira dos nadadores". Este prurido seria mais intenso nos indivíduos já infectados, em decorrência da hipersensibilidade. Não é entretanto nem descrito, nem lembrado, pela maior parte dos indivíduos infectados nas áreas endêmicas, e parece não ser muito importante no Brasil. Supõe-se que muitas vezes seja devido à penetração de cercárias de outros esquistossomas, que parasitam animais, e que não podem se desenvolver no homem.
Ao penetrar, as cercárias perdem na pele a sua cauda, transformando-se em esquistossômulos. A transformação de cercária para esquistossômulo faz-se sem síntese protéica e com a formação de uma membrana heptalaminar de características únicas. Os esquistossômulos ganham então a corrente circulatória e dirigem-se aos pulmões, onde sofrem um processo de maturação. Após penetrarem os pulmões, os esquistossômulos cobrem-se de antígenos ABO e moléculas MHC derivadas do hospedeiro. À partir deste órgão, dirigem-se aos vasos da circulação porta hepática, que correspondem ao seu hábitat definitivo no corpo do hospedeiro. O caminho que seguem tem sido motivo de controvérsias. Para alguns, os esquistossômulos deixariam a luz dos vasos sangüíneos, migrariam através do parênquima pulmonar, atravessariam o diafragma e, já no parênquima hepático, voltariam a penetrar nos vasos sangüíneos da circulação portal. Para outros, os esquistossômulos deixariam os pulmões pela circulação arterial, e, sem nunca sair do interior dos vasos sangüíneos, fariam várias viagens entre os pulmões e os tecidos periféricos. O retorno aos pulmões se daria pela incapacidade do verme em fixar-se às veias da circulação sistêmica. Ao ganhar aleatoriamente a circulação mesentérica, o retorno obrigatório pela circulação portal permitira aí a sua fixação e maturação até a fase adulta.
A passagem pelos pulmões pode desencadear a síndrome de Löffler, uma pneumonite alérgica, eosinofílica, comum a todos os vermes que têm um ciclo pulmonar. Pode haver febre, tosse, dor torácica. O hemograma mostra eosinofilia. A radiografia mostra infiltrados alveolares heterogêneos, difusos por ambos os campos pulmonares, às vezes de caráter migratório. O processo tende a resolver-se espontaneamente. É interessante notar que o esquistossoma, ao contrário dos vermes que fazem o ciclo de Looss (Strongyloides, Ascaris, ancilostomídeos), não abandona a luz dos vasos sangüíneos para o interior dos alvéolos, nem atinge o trato gastrointestinal pela deglutição das secreções respiratórias, apesar de que este seria um excelente caminho para ir dos pulmões à circulação portal.

Esquistossomas

Os esquistossomas são vermes achatados (Platyhelminthes, de plati, achatado) que apresentam acentuado dimorfismo sexual. Macho e fêmea apresentam duas ventosas (Trematoda, de trema, dois orifícios), uma oral e outra ventral, cuja principal função parece ser a fixação do verme à parede do vaso. Os machos têm forma de folha, como as fascíolas. O tegumento é dotado de espículos e projeções característicos. As bordas laterais do verme tendem a fletir-se na direção ventral, o que, além de conferir ao verme um aspecto cilíndrico, delimita, ao longo do corpo do animal, um "canal ginecóforo", onde a fêmea habita, banhada em líquido espermático, em perpétuo acasalamento. As fêmeas são cilíndricas e o tegumento é liso. Medem cerca de 1 cm, sendo os machos algo maiores. Os esquistossomas são muito longevos, podendo viver de 5 a 10 anos. Apesar de habitarem o interior de um vaso sangüíneo, não são agredidos pelo sistema imunológico. Entre os sistemas de escape propostos, está o revestimento do tegumento com antígenos próprios do hospedeiro, geralmente relacionados aos grupos sangüíneos. De fato, experiências em camundongos mostram a destruição imediata dos esquistossomas adultos, quando estes são removidos de um animal e colocados na circulação de um outro, de grupo sangüíneo diferente. O mesmo não acontece quando ambos os animais são do mesmo grupo sangüíneo. A imunidade antiparasitária existe, entretanto. Tanto assim é, que os esquistossômulos são imediatamente destruídos logo após a sua penetração. Deste modo, e também porque os esquistossomas não se multiplicam no interior do hospedeiro, há uma tendência a não ocorrer grandes aumentos da carga parasitária no indivíduo infectado.

Posturas

Por ocasião da postura, a fêmea abandona o macho e dirige-se, deslocando-se contra a corrente sangüínea, para os pequenos capilares venosos que dão origem ao sistema porta na mucosa intestinal. Os ovos são depositados em fileiras no interior dos capilares venosos, um a um. A fêmea os empurra mais em direção à mucosa, com movimentos do corpo. Os espículos laterais de que os ovos são dotados parecem contribuir para que os mesmos se prendam às paredes dos capilares, o que impede o seu deslocamento pelo sangue. Os ovos segregam uma substância histolítica, que destrói o vaso e liqüefaz os tecidos ao seu redor. O material resultante desta liquefação, contendo os ovos do parasita, é eliminado para a luz do intestino. Posteriormente, os ovos deixarão o organismo com as fezes. O exame parasitológico das mesmas pelos métodos de Lutz e Kato os evidenciam facilmente.
As posturas são realizadas no reto e no sigmóide, e deixam como resultado numerosas lesões puntiformes da mucosa. O exame a fresco do material obtido por biópsia retal pode mostrar capilares contendo fileiras de ovos, no interior dos quais notam-se os miracídios em movimento (ovos viáveis). Com a continuidade das posturas, a mucosa sofre um processo de fibrose, que resulta no seu espessamento. A fêmea passa então a realizar posturas em porções mais altas do intestino, no colo descendente, às vezes até no ângulo esplênico. Tal fato pode fazer com que os sítios de postura estejam fora do alcance do retossigmoidoscópio, caso em que os exames parasitológicos de fezes apresentarão maior sensibilidade que a biópsia retal. Por isto, e porque a retossigmoidoscopia é mais agressiva para os pacientes, esta modalidade de exame, outrora tida como indispensável, vem sendo preterida em função do exame parasitológico das fezes. Como as posturas são esporádicas, o exame parasitológico deve ser repetido várias vezes. Acredita-se que cinco exames, separados pelo intervalo de um mês, correspondam à uma retossigmoidoscopia com biópsia retal, em termos de sensibilidade diagnóstica.

Esquistossomose intestinal ou habitual

Os sintomas decorrentes desta forma de esquistossomose, chamada "intestinal" (ou "habitual", por ser a mais comum), podem ser totalmente inexistentes, ou resumirem-se a períodos de diarréia alternados com constipação. Nas áreas endêmicas, esta forma de esquistossomose corresponde a 96% dos indivíduos infectados. Tem caráter benigno, não evolutivo.
Esquistossomose aguda
Nas fases iniciais da infecção, entretanto, podem surgir as manifestações, mais ou menos graves, da esquistossomose aguda. A esquistossomose aguda pode iniciar-se como um prolongamento do "prurido dos nadadores", que surge por ocasião da penetração das cercárias. Pode surgir, neste ocasião, exantema maculopapular pruriginoso, seguido de mal estar, astenia, anorexia, náuseas e cefaléia. A febre é inexistente ou baixa. O aspecto geral é de uma doença viral, desmentida, no entanto, pela eosinofilia sangüínea. É a chamada fase pré-postural da esquistossomose aguda. É quando se iniciam as posturas que a doença mais grave normalmente se inicia, ou seja um ou dois meses após o banho infectante. Tendo ou não existido sintomas desde a penetração das cercárias, estes surgem ou assumem, por ocasião do início das posturas, caráter mais dramático. Há febre elevada, calafrios, mialgia, tosse com crises asmáticas e dor abdominal com diarréia disentérica. Há hepatesplenomegalia e hipertrofia dos linfonodos. Surgem manifestações urticariformes. Há hiperleucocitose com intensa eosinofilia. O quadro tende a ser autolimitado, mas o agravamento é possível, com icterícia, abdome agudo, coma e evolução para o óbito. De uma forma geral as manifestações da esquistossomose aguda, especialmente as da fase pós-postural, são raras nos indivíduos residentes nas áreas endêmicas. É que a infecção ocorre principalmente na infância, quando produz poucos sintomas, e passa despercebida. Mais tarde ocorre uma acentuada moderação da resposta imune aos ovos do parasita, de modo que os sintomas se limitam, nestes indivíduos, aos da fase pré-postural (prurido dos nadadores).
O tempo de vida dos esquistossomas parece ser de 5 a 10 anos. a especificidade do hospedeiro intermediário é muito grande, o que impede a expansão geográfica da doença. A cadeia de transmissão é muito precária: o percentual de caramujos infectados é sempre pequeno. As cercárias são muito pouco numerosas na água. A taxa de exposição às cercárias é portanto baixa. A intensidade e a prevalência da infecção leva vários anos para atingir o seu máximo nos membros mais jovens da população e ambas decrescem com a idade do indivíduo. A distribuição da infecção na população se dá de acordo com uma distribuição binomial negativa, com a maior parte das pessoas albergando pequena carga parasitária e um pequeno número abrigando numerosos vermes.

Fisiopatogenia

A fisiopatogenia das formas graves de esquistossomose crônica está ligada à anatomia da circulação venosa intestinal, ou portal. A circulação portal é uma circulação fechada entre duas redes capilares. Uma delas é a rede capilar intestinal, de onde se origina. A outra é a rede de sinusóides hepáticos, onde termina. Existem territórios onde há possibilidade de comunicação entre as circulações portal e sistêmica. Estes territórios situam-se no terço distal do esôfago, no fundo gástrico e no plexo hemorroidário. Estas comunicações têm, no indivíduo normal, um caráter virtual, apenas potencial. Nos estados patológicos, mormente na hipertensão porta, estes territórios venosos podem hipertrofiar-se, originando varizes de esôfago e hemorróidas. Há uma particularidade interessante na rede capilar sinusoidal. É que, ao contrário dos capilares sistêmicos, o capilar sinusoidal é fenestrado, isto é, sua parede tem fenestras, janelas, pertuitos, orifícios, seios (daí o nome) por onde o plasma passa livremente para banhar os hepatócitos, só as hemácias ficando retidas no seu interior. Ora, nas obstruções que ocorrem a jusante dos sinusóides (isto é, depois deles), o território hipertenso inclui os próprios sinusóides. O plasma hipertenso flui com muito mais intensidade pelas fenestras, e todo o fígado fica, tal como uma esponja, impregnado de plasma. Como a cápsula de Glisson, que envolve o órgão, é permeável, o plasma a atravessa e ganha a cavidade peritonial. Ao fluido que aí se acumula vem juntar-se o líquido da circulação sangüínea do peritônio, atraído pela pressão coloidosmótica exercida pelo plasma inicialmente presente. Assim as obstruções portais pós-sinusoidais (síndrome de Budd-Chiari, trombose das veias centro lobulares, insuficiência cardíaca congestiva) caracterizam-se por súbita e intensa ascite. Já nas obstruções a montante dos sinusóides (isto é, antes deles), ou pré-sinusoidais, o território hipertenso não inclui os sinusóides. Não há ascite, embora possam ser mais precoces as varizes de esôfago, pois não há qualquer alívio da pressão hidrostática, neste caso.

Esquistossomose hepatosplênica

Não contando com a esquistossomose aguda, todas as formas graves desta doença estão relacionadas à crônica embolização hepática pelos ovos do parasita. De fato, muitas vezes os ovos colocados pela fêmea do parasita nas vênulas do intestino são deslocados pela corrente circulatória em direção ao fígado, onde são destruídos, dando origem a granulomas eosinofílicos (granulomas periovulares). Estes granulomas são, inicialmente, muito grandes e muito destrutivos para os tecidos em redor, e resultam na oclusão definitiva do vaso sangüíneo que continha o ovo. O fígado aumenta de volume. Fala-se, então, da esquistossomose hépato-intestinal. Mais tarde, ocorre uma modulação da resposta imunitária, e os granulomas passam a ser menores e menos destrutivos. O órgão pode então diminuir de volume, especialmente se a parasitose é tratada com medicação anti-helmíntica. Nos indivíduos com grandes cargas parasitárias, e na ausência de tratamento, ocorre a progressiva obliteração da circulação portal intra-hepática, com conseqüente hipertensão portal. Nos estágios iniciais a hipertensão portal pode regredir com o tratamento anti-helmíntico. O mais comum, entretanto, é que o fígado permaneça aumentado de tamanho, mesmo após a cura da verminose. A hipertensão portal determina o aparecimento de varizes de esôfago. Como a hipertensão interessa também o baço (pois a veia esplênica, que lhe drena o sangue, desemboca na veia porta), há esplenomegalia, inicialmente por congestão, depois por hipertrofia e fibrose, podendo, então, atingir grandes dimensões. Fala-se, neste ponto, de esquistossomose hepatosplênica.
As alterações da histologia hepática não implicam em necrose hepatocelular. Não há aumento das transaminases, nem sinais de insuficiência hepática, como icterícia, aranhas vasculares ou palma hepática. O indivíduo com esquistossomose hepatosplênica é um adulto jovem, que não está emagrecido e tem as massas musculares conservadas. Há hepatesplenomegalia, mas não há ascite, pois a obstrução portal determinada pelos granulomas é pré-sinusoidal. O doente pode distinguir-se, assim, do cirrótico, um indivíduo de meia idade ou idoso, emagrecido, com ascite e estigmas de insuficiência hepática, como aranhas vasculares, palma hepática, ginecomastia e ausência de pelos. Nenhum destes estigmas está normalmente presente no indivíduo com esquistossomose. As varizes de esôfago, entretanto, podem ser demonstradas em ambos os casos pela endoscopia ou pela radiografia contrastada do órgão. Enquanto não ocorre o sangramento das mesmas, fala-se em esquistossomose hepatosplênica compensada. O sangramento é, no entanto, ominoso quanto à instalação de lesão hepática. Durante os sangramentos, há súbito e grande alívio da hipertensão portal. Como a perfusão hepática remanescente depende desta hipertensão para ser mantida, ocorre que, imediatamente depois do sangramento, desencadeia-se a necrose hepatocelular, por hipoperfusão. O resultado de episódios seguidos de sangramento é a "cirrotização" do fígado. Surgem então, sinais de doença hepática semelhantes aos do indivíduo cirrótico. Fala-se, nesta situação, em esquistossomose hepatosplênica descompensada. O diagnóstico diferencial com a cirrose alcoólica pode tornar-se difícil, ainda mais porque o alcoolismo é comum na nossa população. Nada exclui a concomitância dos dois processos, nos indivíduos com parasitológico positivo.

Esquistossomose pulmonar

A passagem do sangue portal pelas varizes de esôfago em direção à circulação sistêmica abre a possibilidade de embolização dos pulmões pelos ovos. É a esquistossomose pulmonar, inicialmente hipertensiva, determinando o cor pulmonale. O alívio da obstrução da circulação pulmonar vem com a abertura de vasos colaterais intraparenquimatosos. A doença pulmonar hipertensiva torna-se então cianótica, por que o sangue é desviado dos capilares alveolares. Surge a esquistossomose pulmonar cianótica. Os ovos podem, agora, ganhar a circulação arterial sistêmica. É a esquistossomose ectópica, em que há deposição de ovos em todos os tecidos da economia.

Imunidade concomitante

Nas áreas endêmicas, as formas crônicas graves respondem por 4% dos doentes. A maior parte das formas graves são hepatosplênicas, sendo as pulmonares raras e as ectópicas mais raras ainda. Embora aparentemente exista uma relação de conseqüência entre estas diversas formas de esquistossomose, no sentido de que não pode haver forma pulmonar sem hepatosplênica, nem hepatosplênica sem hépato-intestinal, a esquistossomose não é uma doença progressiva. Na maior parte dos indivíduos em área endêmica, as primeiras infecções dão-se na infância, e são decorrentes de um pequeno inóculo. As formas agudas, não sendo comuns nesta idade, são pouco relatadas nesta população. Nestes indivíduos, a infecção segue um curso clinicamente silencioso, com acasalamento dos poucos parasitas adquiridos e o início das posturas. Formam-se granulomas hepáticos, inicialmente grandes, mas em pequena quantidade. A imunidade se estabelece, com duas conseqüências, a modulação dos granulomas e a diminuição do seu tamanho, e o estabelecimento de relativa proteção quanto à penetração de novos parasitas. É o que se chama de "imunidade concomitante" (à presença dos parasitas) ou "premunição". Como os parasitas são longevos, esta proteção é duradoura, e a carga parasitária tende a manter se estável, permanecendo o indivíduo na forma "habitual" da parasitose, mesmo tendo freqüentes contactos com as águas infestadas. Em alguns poucos casos, entretanto, as infecções iniciais podem determinar grandes cargas parasitárias. A modulação dos granulomas e a imunidade concomitante surgem normalmente, e o indivíduo não mais adquire novos parasitas. Mas, neste poucos casos desafortunados, o grande número de vermes (às vezes milhares) é suficiente, ainda assim, para determinar a oclusão da circulação hepática. O aparecimento das formas graves dependeria, então, da carga parasitária inicial, e não de uma evolução a partir das formas benignas. Há quem acredite, por outro lado, que a constituição genética do indivíduo tenha importância na evolução clínica da parasitose. De fato, indivíduos de raça negra, atavicamente afeitos à infecção, desenvolvem muito mais raramente as formas hepatosplênicas.
Informações recentes apontam para uma possível relação entre os antígenos HLA e o desenvolvimento de hepatomegalia e hepatesplenomegalia na esquistossomose mansônica e japônica. Nas infecções por S. mansoni e S. haematobium a resposta granulomatosa é uma reação de hipersensibilidade retardada, consistindo principalmente de linfócitos, monócitos e macrófagos. A resposta granulomatosa é estreitamente regulada por diversos mecanismos imunológicos.
A modulação dos granulomas na fase tardia da doença tem um papel significante na limitação do progresso da doença. Não se sabe se os eventos terminais (icterícia, ascite, insuficiência hepática) devem-se à própria esquistossomose ou se está relacionada a fatores tais como deficiência nutricional ou infecções virais.
Os altos níveis de IgE atribuem-se à propensão que têm os helmintos para estimular os linfócitos TH2, que segregam IL-4 e IL-5. A IL-4 é responsável pelos altos títulos de IgE e a IL-5 pela eosinofilia. A citotoxicidade dependente de IgE e mediada por eosinófilos (um tipo de ADCC) tem um papel importante na destruição de helmintos porque a proteína básica principal (major basic protein) dos grânulos dos eosinófilos é mais tóxica para os vermes que as enzimas proteolíticas e o oxigênio reativo produzido pelos neutrófilos e macrófagos. Entretanto, a imunidade anti-esquistossomática parece depender mesmo dos TH1 e da produção de interferon gama. Macrófagos ativados destroem cercárias pela ação do óxido nítrico e TNF.
A formação dos granulomas periovulares depende do estímulo das células CD4+, que ativam os macrófagos e iniciam a reação de imunidade retardada.
Diferentes antígenos e formas de imunização desencadeiam a ação de diferentes subpopulações de células T auxiliares, que produzem diferentes conjuntos de citocinas. As células TH1 segregam IL-2 e IFN gama e as células TH2 segregam IL-4, IL-5, IL-10 e IL-13. As células TH1 são as principais efetoras da imunidade mediada por células e da hipersensibilidade retardada (infecções por parasitas intracelulares). As células TH2 estimulam a produção de IgE (por causa da IL-4) e a inflamação eosinofílica (IL-5 é um poderosa citocina ativadora de eosinófilos).
O controle da esquistossomose faz-se, idealmente, pela educação sanitária, visando ao destino adequado dos dejetos fecais. A busca ativa e tratamento dos casos tem se revelado capaz de diminuir a incidência da parasitose em algumas áreas endêmicas. Os tratamentos de massa, indiscriminados, foram abandonados, bem como o tratamento das águas com moluscicidas.

Tratamento

O tratamento do indivíduo infectado faz-se com duas drogas, a oxamniquina e o praziquantel. O tratamento nunca é urgente. O encontro fortuito de ovos do parasita nas fezes de um paciente cirúrgico eletivo, por exemplo, não contra-indica a cirurgia. A oxamniquina é mais barata e distribuída gratuitamente pelo governo. É dada por via oral, na dose de 12,5 mg por kg de peso corporal nos adultos. Crianças eliminam mais rapidamente a droga, e devem receber 20 mg por quilo de peso corporal. A dose é única. Os principais efeitos colaterais são de natureza psiquiátrica, com delírios e alucinações. A droga deve ser dada a noite, por este motivo, já que estes efeitos podem manifestar-se como simples pesadelos. Há cerca de 15% de resistência.
O praziquantel é dado na dose única oral de 50 mg por quilo de peso corporal.
Tratamento cirúrgico
As alterações circulatórias decorrentes da esquistossomose podem ser passíveis de correção ou paliação cirúrgica. A primeira das tentativas de correção consistiu na anastomose portocaval. Os resultados deste procedimento não foram bons, pois o alívio excessivo da pressão portal desencadeava a necrose hepática, de forma semelhante ao que ocorre no sangramento das varizes. Além disso, presença do sangue portal na circulação sistêmica desencadeava a encefalopatia hepática, pois os aminoácidos aromáticos, decorrentes da degradação das proteínas absorvidas pelo intestino, e não degradados pelo fígado, vão agir como falsos neurotransmissores no Sistema Nervoso Central, determinando o aparecimento de desorientação, alucinações, torpor, coma e morte. A solução seguinte foi a esplenectomia. A extirpação do baço hipertrofiado trazia algumas conseqüências benéficas, entre elas a cessação do deságüe da veia esplênica na veia porta, aliviando a pressão no sistema portal. O doente com anemia por hiperesplenismo também se beneficiava com a esplenectomia. Em doenças infantis com grandes e prolongadas esplenomegalias, pode surgir o que se chama de nanismo esplênico, pelo fechamento precoce das cartilagens de conjugação. Os fatores que desencadeiam o processo são desconhecidos, mas a esplenectomia indica-se nesta situação por acarretar na cessação do mesmo. Outras modalidades cirúrgicas são a anastomose esplenorrenal distal e a anastomose esplenorrenal proximal. Na primeira, o baço é extirpado e a extremidade distal da veia esplênica é ligada à veia renal. O sangue portal passa a fluir pela veia esplênica no sentido inverso, desaguando na veia renal e aliviando a circulação portal. O fluxo através da veia esplênica modula o alívio da pressão, de modo que a incidência de hipoperfusão hepática ou encefalopatia é baixa. Na última modalidade, o baço é mantido, e faz-se a anastomose da porção proximal da veia esplênica com a veia renal. O sangue venoso esplênico passa a desaguar na veia renal, aliviando o sistema porta.

quinta-feira, 5 de março de 2009

Patologia - Degeneração hialina (Corpúsculo de Mallory)


Os corpúsculos de Mallory são encontrados no interior dos hepatócitos sob forma de condensações grosseiras de material filamentar, eosinófilas, próximas ao núcleo da célula.

O propósito desta lâmina é demonstrar uma degeneração hialina celular, ou seja, uma alteração que torna proteínas celulares visíveis já em microscopia óptica na forma de grumos hialinos no citoplasma. Hialino que dizer semelhante a vidro e designa o aspecto homogêneo e fortemente róseo (ou eosinófilo) que assumem em um corte histológico proteínas condensadas ou aglutinadas. No caso, o fenômeno ocorre no citoplasma de hepatócitos em um paciente alcoólatra crônico. O álcool, se ingerido em altas doses, pode levar à precipitação de proteínas do citoesqueleto, que normalmente não são visíveis em microscopia óptica. Estas formam então os corpúsculos hialinos de Mallory, um manifestação morfológica altamente característica, mas não patognomônica, da ação tóxica do etanol sobre o fígado. (Patognomônico significa uma lesão absolutamente característica e exclusiva de uma determinada doença. Em Medicina em geral, e em Anatomia Patológica em particular, muito poucas alterações podem ser consideradas patognomônicas.) Além dos corpúsculos de Mallory, estes hepatócitos mostram também esteatose, ou seja, acúmulo de gorduras neutras no citoplasma, na forma de vacúolos grandes, arredondados e opticamente vazios. O material hialino está muitas vezes junto aos vacúolos de gordura. A esteatose é outra manifestação dos transtornos metabólicos causados pelo álcool.


Patologia - Degeneração hidrópica



Hydropic Change, Kidney (low)
Marked cell swelling of renal tubular epithelial cells. This severe cellular edema is classically called hydrops(root word meaning water), hence "hydropic change".
.
.
1.1. Degeneração Hidrópica
Acúmulo de água no interior da célula devido à lesão na membrana plasmática e alteração no funcionamento da bomba de Na e K.
Com uma lesão na membrana plasmática há inicialmente um acúmulo de Na fora e K dentro da célula. Com esse "desequilíbrio", um mecanismo tenta igualar as concentrações, colocando o Na para dentro da célula, aumentando, no entanto a pressão osmótica, que faz com que a água do interstício celular penetre na célula para "diluir" a grande quantidade de Na que foi para o interior da célula.
Tumefação Turva: pequeno acúmulo de água no interior da célula.
Degeneração Hidrópica: médio acúmulo de água no interior da célula.
Degeneração Vacuolar: grande acúmulo de água no interior da célula.
No rim causa glomerulonefrite e proteinúria.
Exemplo: Eclampsia

quarta-feira, 4 de março de 2009

Parasitologia - Fascíola Hepática



INTRODUÇÃO
A fasciolose hepática é causada por um trematoda - Fasciola hepatica – que raramente é responsável por doenças em seres humanos, sendo sua infecção acidental. Por outro lado, sabe-se que as zonas de alta prevalência de fasciolose humana não coincidem com aquelas em que tal enfermidade constitui um problema veterinário relevante.
Alguns casos esporádicos têm sido relatados na literatura apontando a fasciolose hepática como determinante de obstrução biliar ocasionando icterícia obstrutiva 1- 5.
A possibilidade de termos tratado uma paciente portadora de fasciolose hepática com obstrução biliar motivou-nos ao presente relato.

RELATO DO CASO
Uma paciente, 53 anos, agricultora, procedente da zona rural do Rio Grande do Sul, procurou o ambulatório de Cirurgia Geral da nossa Instituição com história médica pregressa de colecistectomia por incisão de Kocher há 10 anos, seguida de papilotomia endoscópica três anos após, por suspeita de coledocolitíase (o laudo da colangiopancreatografia trazido pela paciente era dado como vias biliares difusamente dilatadas e cuja exploração não evidenciou presença de cálculos). Presentemente, queixava-se de episódios repetidos de dor no hipocôndrio direito, por vezes associados com náuseas e vômitos, icterícia flutuante, colúria e acolia, bem como astenia e tontura. Negava emagrecimento ou outras queixas. Apresentava-se anictérica e com mucosas hipocorada. A paciente trazia consigo exames laboratoriais que demonstravam anemia persistente (hemoglobina de 7,9g/dL), eosinofilia (7,3%) e provas de função hepática dentro dos limites da normalidade. Negava viagens a outros estados do Brasil ou a outros países.
A ecografia abdominal demonstrava dilatação da via biliar intra e extra-hepática, ducto colédoco com 14 mm, com conteúdo ecogênico no seu interior compatível com cálculos. A tomografia abdominal evidenciou idêntica dilatação da via biliar intra e extra-hepática, bem como redução brusca do calibre hepatocoledociano junto à inserção do ducto cístico, preenchido por bile aparentemente densa. Além disso, nos segmentos hepáticos sete e oito identificava-se uma área de aspecto infiltrativo, contendo calcificação.
Com o diagnóstico de dilatação da via biliar principal e a evidência tomográfica de redução brusca do calibre coledociano, aventamos como hipóteses diagnósticas litíase residual ou primária de colédoco, estenose cicatricial ou ascaridíase. Tendo a paciente já sido submetida a papilotomia endoscópica, optou-se por levá-la à laparotomia por incisão de Kocher. No trans-operatório, a colangiografia evidenciou dilatação das vias biliares, defeitos de enchimento da via biliar principal e ausência de passagem de contraste para o interior do duodeno (Figura 1). À coldecocotomia foi identificada a presença de Fasciola hepatica no seu interior, sendo retiradas 25 unidades deste trematoda por intermédio de coledocoscopia e pinça de preensão (Figura 2). A coledocoscopia evidenciou o epitélio da via biliar com lesões infiltrativas com pontos hemorrágicos. Realizou-se lavagem abundante da via biliar e sua derivação através de hepaticojejunostomia. À palpação, identificamos área infiltrativa no lobo hepático direito, cuja biópsia demonstrou processo inflamatório crônico.






A paciente obteve alta hospitalar no sétimo dia de pós-operatório sem complicações e orientada para tratamento clínico com bitionol. Encontra-se assintomática no sexto mês de pós-operatório.

DISCUSSÃO
Apresentamos um caso de fasciolose hepática autóctone do Rio Grande do Sul, estado não referendado pela literatura como sítio comum desta infecção em humanos. O presente caso mostra-se peculiar pelo diagnóstico diferencial da icterícia flutuante em paciente colecistectomizada submetida a papilotomia endoscópica previamente.
A infecção humana, considerada como acidental e descrita com poucos relatos na literatura1-5, inicia pela ingesta de metacercárias oriundas de ovos presentes em fezes de herbívoros. Quando ingeridas, as metacercárias ativamente atravessam a parede do intestino delgado em direção à cavidade peritoneal, vindo a penetrar a cápsula hepática em poucos dias, caracterizando a fase aguda ou invasiva da infecção. A seguir, a larva atinge sua maturidade e passa a migrar lentamente para o interior das vias biliares, onde exercerá seu papel parasitário (fase crônica, obstrutiva ou biliar). A fase aguda caracteriza-se por febre, dor abdominal, cefaléia, urticária e eosinofilia, estando as provas de função hepática habitualmente normais. No que tange à fase biliar, os sintomas assemelham-se àqueles da coledocolitíase, sendo que os exames de imagem podem espelhar dilatação das vias biliares e defeitos de enchimento, sugestivos de litíase3. Além disso, na fase aguda, a penetração hepática pode transparecer à tomografia como lesões infiltrativas periféricas no parênquima hepático.
No presente caso, paciente oriunda da zona rural do RS com criação de ovinos, não foi possível estabelecer o período da infecção aguda, mas a fase biliar ficou bem documentada com os achados clínicos, laboratoriais, imaginológicos e cirúrgicos, ainda que a lesão hepática descrita na tomografia e vislumbrada à laparotomia pudesse corresponder à cicatriz da fase aguda. Não dispusemos de sorologia para Fascíola hepática neste caso, embora alguns autores tenham descrito sua utilidade para o diagnóstico e para o acompanhamento da doença1- 4. Ademais, o diagnóstico etiológico pode ser mais fortemente sugerido por exame parasitológico de fezes com técnica de sedimentação com surfactante4.
O tratamento da fasciolose hepática tem sido referido como clínico ou invasivo. No que diz respeito ao tratamento clínico, quase em base experimental, baseia-se na utilização de bitionol ou triclabendazol, com relatos promissores de alguns autores, inclusive com regressão das lesões hepáticas2,-5. [Advoga-se o tratamento invasivo para os pacientes portadores de obstrução da via biliar pela Fasciola hepatica, sendo a utilização da colangiopancreatografia retrógrada endoscópica ou extração cirúrgica referidos na literatura] 1, 3, 4. No presente relato, a extração cirúrgica com a disponibilização da coledocoscopia e pinça de preensão demonstrou ser factível sem riscos excessivos de lesão à via biliar.
Um ponto a ser considerado neste caso é que a paciente fora submetida previamente à papilotomia endoscópica. Desta feita, poderíamos conjeturar que as metacercárias, ao invés de atravessarem o intestino delgado e transgredirem o parênquima hepático, pudessem ter (de uma forma alternativa ou complementar) ascendido à via biliar retrogradamente através da papila de Vater que sem seu mecanismo esfincteriano fisiológico. Isto explicaria a ausência de sintomas pronunciados da fase aguda nesta paciente, embora a lesão hepática descrita pudesse corresponder à lesão da fase aguda. Assim, tal hipótese caracterizaria um mecanismo fisiopatológico alternativo para a infecção errática de humanos pela Fasciola hepatica.
Em suma, é rara a infecção de seres humanos pela Fasciola hepatica, sobretudo no Rio Grande do Sul. Tal infecção geralmente cursa com uma fase aguda e outra crônica (biliar), embora o mecanismo fisiopatológico sugerido para este caso pudesse determinar diretamente a fase biliar. Nesta fase, a biliar, o tratamento com derivação bílio-digestiva parece-nos plausível, como no presente caso, em que a paciente encontra-se assintomática seis meses após o tratamento.

terça-feira, 3 de março de 2009

Microbiologia - Teste de Gram

Microbiologia


A coloração de Gram é um método de coloração de bactérias desenvolvido pelo médico dinamarquês Hans Christian Joachim Gram (1853 - 1838), em 1884, e que consiste no tratamento sucessivo de um esfregaço bacteriano, fixado pelo calor, com os reagentes cristal violeta, lugol, etanol-acetona e fucsina básica. Essa técnica permite a separação de amostras bacterianas em Gram-positivas e Gram-negativas e a determinação da morfologia e do tamanho das amostras analisadas.
O método da coloração de Gram é baseado na capacidade das paredes celulares de bactérias Gram-positivas de reterem o corante cristal violeta no citoplasma durante um tratamento com etanol-acetona enquanto que as paredes celulares de bactérias Gram-negativas não o fazem.
A coloração de Gram é um dos mais importantes métodos de coloração utilizados em laboratórios de microbiologia e de análises clínicas, sendo quase sempre o primeiro passo para a caracterização de amostras de bactérias. A técnica tem importância clínica uma vez que muitas das bactérias associadas a infecções são prontamente observadas e caracterizadas como Gram-positivas ou Gram-negativas em esfregaços de pus ou de fluidos orgânicos. Essa informação permite ao clínico monitorar a infecção até que dados de cultura estejam disponíveis. É possível a análise de vários esfregaços por lâmina, o que facilita a comparação de espécimes clínicos. As lâminas podem ser montadas de forma permanente e preservadas como documentação.


2 - Descrição da técnica


O método consiste no tratamento de uma amostra de uma cultura bacteriana crescida em meio sólido ou líquido, com um corante primário, o cristal violeta, seguido de tratamento com um fixador, o lugol. Tanto bactérias Gram-positivas quanto Gram-negativas absorvem de maneira idêntica o corante primário e o fixador, adquirindo uma coloração violeta devido à formação de um complexo cristal violeta-iodo, insolúvel, em seus citoplasmas. Segue-se um tratamento com um solvente orgânico, o etanol-acetona (1:1 v:v). O solvente dissolve a porção lipídica das membranas externas das bactérias Gram-negativas e o complexo cristal violeta-iodo é removido, descorando as células. Por outro lado, o solvente desidrata as espessas paredes celulares das bactérias Gram-positivas e provoca a contração dos poros do peptidoglicano, tornando-as impermeáveis ao complexo; o corante primário é retido e as células permanecem coradas. A etapa da descoloração é crítica, pois a exposição prolongada ao solvente irá provocar a remoção do cristal violeta dos dois tipos de bactérias, podendo produzir resultados falsos. A retenção ou não do corante primário é, portanto, dependente das propriedades físicas e químicas das paredes celulares bacterianas tais como espessura, densidade, porosidade e integridade.
Em seguida, a amostra é tratada com um corante secundário, a fucsina básica. Ao microscópio, as células Gram-positivas aparecerão coradas em violeta escuro e as Gram-negativas em vermelho ou rosa escuro. Células de bactérias Gram-positivas, células velhas, mortas ou com envelopes danificados por agentes físicos ou químicos, tendem a perder o cristal violeta e uma mesma amostra bacteriana pode exibir parte ou todas as células coradas como Gram-negativas. Portanto, o uso de material fresco é importante. Por outro lado, resultados do tipo "falso Gram-positivo" só são obtidos se o tratamento com etanol-acetona for omitido.
O corante cristal violeta pode ser substituído, com os mesmos resultados, pelo azul de metileno e a fucsina básica pode ser substituída pelo corante vermelho safranina. A fucsina cora muitas bactérias Gram-negativas mais intensamente que a safranina, que por sua vez não cora prontamente algumas espécies de bactérias. O solvente etanol-acetona pode ser substituído por álcool 95%.









Gram Positivo





Gram Negativo


Alguns microorganismos gram-positivos
Staphylococcus aureus

Alguns microorganismos gram-negativos
Pseudomonas aeruginosa
Haemophilus influenzae
Escherichia coli